Treatments

Treatments

1. Dental Checkup with Digital X-Ray

A comprehensive oral examination to assess teeth, gums, bite, and overall oral health. Using advanced digital X-rays, hidden problems such as cavities, infections, bone loss, and impacted teeth can be detected at a very early stage — even before symptoms appear.

Early diagnosis allows for timely and minimally invasive treatment, helping prevent pain, complications, and costly dental procedures in the future. Regular dental checkups play a vital role in maintaining a healthy smile and overall well-being.

Treatments

2. Teeth Cleaning (Scaling & Polishing)

Professional removal of plaque, tartar, and stains to prevent gum disease, bleeding gums, bad breath, and tooth decay. Polishing smoothens the teeth, making it harder for bacteria to stick. Regular cleaning keeps your smile bright and your gums healthy. Recommended once every 6 months for optimal oral hygiene.

Treatments

3. Tooth-Coloured Fillings

Natural-looking, mercury-free fillings that restore decayed or damaged teeth while maintaining strength and aesthetics. They bond strongly to the tooth structure and prevent further decay. These fillings are ideal for both front and back teeth and provide long-lasting protection with a natural appearance.

Treatments

4. Root Canal Treatment (RCT)

A comfort-focused procedure to save severely infected or painful teeth by removing the infected pulp and sealing the tooth. It effectively eliminates infection, relieves pain, and prevents the need for tooth extraction, helping you preserve your natural smile.

With modern rotary instruments, digital imaging, and advanced anesthesia, root canal treatment is now quick, safe, and virtually painless. After treatment, the tooth is restored with a crown for long-term strength and function, allowing you to chew comfortably and smile with confidence.

Treatments

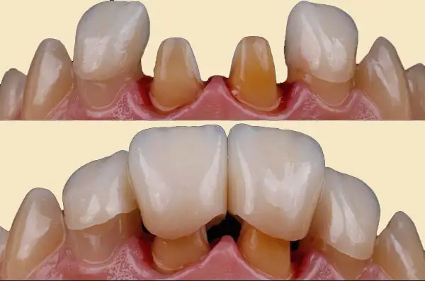
5. Dental Crowns & Bridges

Protective caps placed over damaged or root canal treated teeth to restore shape, strength, and appearance. Bridges replace missing teeth and prevent neighboring teeth from shifting out of position. These restorations improve chewing efficiency, speech, and smile aesthetics while protecting remaining natural teeth.

Treatments

6. Dental Implants

Permanent replacement for missing teeth using high-quality titanium implants that integrate naturally with the jawbone. They function and feel just like natural teeth, allowing you to eat, speak, and smile with complete confidence.

Dental implants preserve jawbone health, prevent facial sagging, and maintain your natural facial structure. They do not affect neighboring teeth and provide a strong, stable, and long-lasting solution for missing teeth. With proper care, implants can last a lifetime, making them the gold standard in modern tooth replacement.

Treatments

7. Fixed & Removable Dentures

Customized tooth replacement options for multiple missing teeth designed for comfort, stability, and natural appearance. They restore chewing ability, improve speech, and support facial structure. Modern dentures are lightweight, comfortable, and highly aesthetic.

Treatments

8. Cosmetic Dentistry

Enhances the appearance of your smile using:

  • Smile designing
  • Veneers
  • Tooth reshaping
  • Gap correction

Improves tooth shape, color, alignment, and overall smile harmony. Perfect for confidence and aesthetics.

Treatments

9. Teeth Whitening

Safe and effective professional whitening to remove deep stains caused by coffee, tea, smoking, and aging. Brightens your smile by several shades in a single visit. The procedure is quick and delivers long-lasting results.

Treatments

10. Braces & Aligners

Orthodontic solutions for crooked or misaligned teeth using:

  • Metal braces
  • Ceramic braces
  • Clear aligners

Improves both appearance and oral health.

Treatments

11. Pediatric Dentistry (Kids Dentistry)

Gentle and compassionate dental care for children including preventive treatments, cavity management, and habit counseling in a friendly and stress-free environment. Special focus is given to early detection of dental problems to ensure healthy development of teeth and jaws.

Our child-friendly clinic atmosphere helps children feel comfortable and confident during dental visits. We also guide parents on proper oral hygiene practices, diet habits, and preventive care so that children grow up with strong, healthy smiles and positive dental experiences for life.

Treatments

12. Tooth Extraction(Including Wisdom Teeth)

Safe and comfort-focused removal of damaged, decayed, loose, or impacted teeth using modern techniques and advanced anesthesia. Includes simple and surgical extractions such as wisdom tooth removal when required.

Our gentle approach ensures minimal discomfort during the procedure, faster healing, and smooth recovery. Detailed post-extraction care instructions are provided to promote proper healing and prevent complications, helping you return to normal activities quickly and comfortably.

Book Now

Your smile deserves expert care

Book your consultation today and experience stress-free dentistry.